呼吸器系(77問) 原因・障害のアセスメントと看護
第114回 午前51問
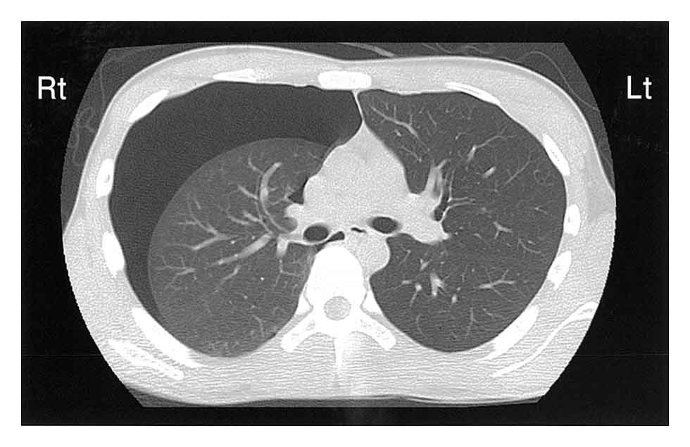
Aさん(27歳、男性)は、突然の胸痛と呼吸困難があり、救急外来を受診した。意識は清明。身長179cm、体重63kg、胸郭は扁平である。20歳から1日50本の喫煙をしている。バイタルサインは、体温36.1℃、呼吸数22/分、経皮的動脈血酸素飽和度(SpO2)96%(room air)である。胸部CT(巻頭視覚素材2)を示す。
Aさんの所見から考えられるのはどれか。
- 1. 酸素吸入が必要である。
- 2. 抗菌薬投与が必要である。
- 3. 右肺野の呼吸音は減弱している。
- 4. 左胸腔内は液体成分で占められている。
解答・解説を見る
- 必修問題
- 一般・状況設定問題
人体の構造と機能
- 1.細胞と組織 (10問)
- 2.生体リズムと内部環境の恒常性 (4問)
- 3.神経系 (35問)
- 4.運動器系 (18問)
- 5.感覚器系 (21問)
- 6.循環器系 (29問)
- 7.血液 (15問)
- 8.体液 (6問)
- 9.生体の防御機構 (18問)
- 10.呼吸器系 (19問)
- 11.消化器系 (22問)
- 12.代謝系 (13問)
- 13.泌尿器系 (13問)
- 14.体温調節 (6問)
- 15.内分泌系 (23問)
- 16.生殖器系 (7問)
疾病の成り立ちと回復の促進
健康支援と社会保障制度
- 1.社会・家族機能と生活基盤 (16問)
- 2.社会の中の集団 (18問)
- 3.社会保障制度の基本 (9問)
- 4.社会保障制度の基本 (28問)
- 5.社会福祉の基本 (43問)
- 6.健康と公衆衛生 (39問)
- 7.感染症と対策 (19問)
- 8.生活環境への対策 (11問)
- 9.保健活動の基盤と制度 (30問)
- 10.生活者の健康増進 (11問)
- 11.人々の健康を支える職種に関する法や施策 (37問)
基礎看護学
成人看護学
- 1.成人の特徴と生活 (8問)
- 2.健康の保持・増進や疾病の予防 (17問)
- 3.急性期の看護 (4問)
- 4.救急看護、クリティカルケア (27問)
- 5.周術期看護 (38問)
- 6.慢性疾患の看護 (13問)
- 7.リハビリテーション看護 (7問)
- 8.がん看護 (26問)
- 9.終末期看護 (20問)
- 10.呼吸器系 (77問)
- 11.循環器系 (97問)
- 12.消化器系 (100問)
- 13.栄養代謝系 (59問)
- 14.内部環境 (44問)
- 15.内分泌系 (74問)
- 16.血液・免疫系 (78問)
- 17.脳・神経系 (85問)
- 18.感覚器系 (39問)
- 19.運動器系 (54問)
- 20.泌尿器系 (29問)
- 21.性・生殖器系 (37問)
老年看護学
- 1.高齢者の理解の基本 (12問)
- 2.高齢者の生活 (11問)
- 3.高齢者の健康 (55問)
- 4.老年看護の基本 (24問)
- 5.高齢者の生活を支える看護 (30問)
- 6.健康状態や受療状況に応じた高齢者の看護 (29問)
- 7.高齢者に特有な症候・疾患・障害と看護 (64問)
- 8.治療・介護を必要とする高齢者の家族の看護 (6問)
- 9.多様な場で生活する高齢者を支える看護 (25問)
- 10.状況設定問題 (195問)
小児看護学
- 1.子どもと家族を取り巻く環境 (7問)
- 2.子どもの成長・発達 (61問)
- 3.小児各期における健康増進のための看護 (36問)
- 4.病気や診療・入院が子どもと家族に与える影響 (24問)
- 5.検査や処置を受ける子どもと家族への看護 (12問)
- 6.特別な状況下の子どもと家族への看護 (2問)
- 7.急性期の子どもと家族への看護 (19問)
- 8.慢性的な疾患・障害がある子どもと家族への看護 (21問)
- 9.エンド・オブ・ライフにある子どもと家族への看護 (5問)
- 10.状況設定問題 (192問)
母性看護学
- 1.母性看護の対象と社会・環境 (12問)
- 2.母性看護の基盤 (19問)
- 3.女性のライフサイクル各期における看護 (37問)
- 4.妊娠期の看護 (48問)
- 5.分娩期の看護 (15問)
- 6.産褥期の看護 (27問)
- 7.早期新生児期の看護 (30問)
- 8.状況設定問題 (189問)
精神看護学
- 1.精神保健の基本 (40問)
- 2.精神疾患・障害 の特徴と看護 (64問)
- 3.精神看護の対象理解と支援 (13問)
- 4.精神疾患・障害がある者への看護 (44問)
- 5.安全な治療環境の提供 (7問)
- 6.精神保健医療福祉の変遷と法や施策 (30問)
- 7.多職種連携 (5問)
- 8.状況設定問題 (182問)
地域・在宅看護論(在宅看護論)
- 1.地域・在宅看護の対象 (7問)
- 2.地域・在宅看護の概念 (16問)
- 3.地域・在宅看護における安全と健康危機管理 (5問)
- 4.地域・在宅看護実践をめぐる制度 (37問)
- 5.療養の場に応じた地域・在宅看護 (19問)
- 6.症状・疾患・治療に応じた地域・在宅看護 (54問)
- 7.在宅療養生活を支える看護 (37問)
- 8.地域ケアシステムにおける多職種連携 (5問)
- 9.地域包括ケアシステムにおける在宅看護 (5問)
- 10.状況設定問題 (150問)




